Болезнь Иценко-Кушинга (или синдром Иценко-Кушинга) — это редкое эндокринное заболевание, вызванное чрезмерным уровнем гормона коры надпочечников, особенно кортизола. Этот гормон играет важную роль в регуляции обмена веществ и ответа на стресс.
Основные признаки болезни Иценко-Кушинга
- Ожирение. Обычно влияет на верхнюю часть тела и лицо, при этом ноги и руки могут оставаться относительно худыми.
- Синдром «луны» на лице. Опухание и красные пятна на лице, создающие внешний вид «луны».
- Синдром «буффало горб». Накопление жира между плечами, создавая горбатый вид.
- Синдром «фиолетовых полос на животе». Синяки образующиеся из-за растяжения кожи.
- Слабость и потеря мышечной массы. Обусловлены избыточным кортизолом, который может разрушать мышцы и замедлять их рост.
- Повышенное артериальное давление и уровень сахара в крови. Возможны из-за воздействия кортизола на эти системы.
Причины болезни Иценко-Кушинга
Болезнь Иценко-Кушинга обычно вызывается избыточным выделением гормона коры надпочечников, известного как кортизол. Это может быть вызвано различными причинами:
- Аденома гипофиза. Наиболее частой причиной болезни Иценко-Кушинга является наличие опухоли (аденомы) в гипофизе — маленькой железе, расположенной в головном мозге. Эта опухоль стимулирует избыточное выделение адренокортикотропного гормона (ACTH), который, в свою очередь, стимулирует кору надпочечников производить избыточное количество кортизола.
- Аденома надпочечников. Иногда болезнь Иценко-Кушинга может быть вызвана опухолью, развивающейся непосредственно в коре надпочечников. Эта опухоль может автономно вырабатывать кортизол, обходя нормальный регуляторный механизм уровня гормонов.
- Гиперплазия коры надпочечников. В редких случаях болезнь Иценко-Кушинга может быть вызвана гиперплазией коры надпочечников, что приводит к избыточному выделению кортизола.
- Длительное употребление кортикостероидных препаратов. Продолжительное лечение кортикостероидами (например, для лечения воспалительных заболеваний, таких как ревматоидный артрит или бронхиальная астма) может привести к развитию болезни Иценко-Кушинга. Это связано с тем, что внешнее поступление кортизола может подавить естественную продукцию гормонов надпочечниками.
- Эктопический источник ACTH. В редких случаях болезнь Иценко-Кушинга может быть вызвана эктопическим источником ACTH в организме, который может производить этот гормон вне обычных мест — например, раком легкого.
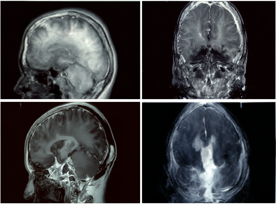
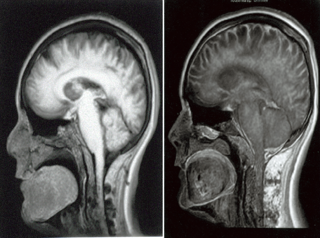
Для точного выявления причины болезни Иценко-Кушинга требуется обширное обследование под руководством врача, включая лабораторные тесты, изображения (например, компьютерная томография или магнитно-резонансная томография) и другие диагностические методы.
Запишитесь на консультацию к специалисту
ЗаписатьсяСимптомы болезни Иценко-Кушинга
Болезнь Иценко-Кушинга проявляется разнообразными симптомами, которые могут затрагивать различные системы организма. Эти симптомы могут развиваться медленно, и их трудно выявить на ранних стадиях. Среди основных симптомов болезни Иценко-Кушинга:
Ожирение в области верхней части тела и лица
Характерен накоплением жира в области шеи, лица (создается «лунное» лицо) и верхней части тела, в то время как нижние конечности могут оставаться относительно худыми.
Синдром «буффало горб» (горб на шее). Образование тканевого отложения в области шеи, создающего горбатый вид.
Синдром «фиолетовых полос». Растяжение кожи, проявляющееся в виде синяков или стрий, образующихся из-за увеличенного давления кортизола на кожу.
Слабость и потеря мышечной массы. Избыточный кортизол может привести к разрушению мышц и уменьшению их массы, что влечет за собой слабость.
Гипертония (повышенное артериальное давление)
Избыточный кортизол может вызвать увеличение давления, воздействуя на сердечно-сосудистую систему.
Остеопороз
Избыточный кортизол может снизить плотность костей, что повышает риск переломов.
Сахарный диабет
Некоторые люди с болезнью Иценко-Кушинга могут развивать сахарный диабет из-за воздействия кортизола на обмен углеводов.
Психические изменения
Возможны депрессия, тревожность, раздражительность и изменения в психологическом статусе.
Менструальные нарушения
У женщин могут возникнуть менструальные нарушения, включая аменорею (отсутствие менструации).
Снижение иммунитета
Избыточный кортизол может подавлять иммунную систему, что делает организм более уязвимым к инфекциям.
Утомляемость. Хроническая усталость и общее ощущение слабости могут быть характерными симптомами.

Диагностика болезни Иценко-Кушинга
Диагностика болезни Иценко-Кушинга включает различные этапы, так как она представляет собой сложное эндокринное заболевание. Вот некоторые методы и процедуры, которые могут использоваться в процессе диагностики:
- Клинический осмотр и анамнез. Врач проводит общий медицинский осмотр, обсуждает ваши симптомы, исследует ваши медицинские записи и уточняет вопросы о семейной и медицинской истории.
- Лабораторные тесты. Исследование уровня кортизола в крови является ключевым элементом диагностики. Обычно проводят тесты в течение дня, так как уровень кортизола может изменяться в зависимости от времени суток. Также могут быть проведены тесты на уровень ACTH (гормона, стимулирующего кору надпочечников) и других связанных гормонов.
- Дексаметазоновый тест. Это специальный тест, при котором вам предписывается принимать дексаметазон (кортикостероид) и измерять уровень кортизола в моче. Задача этого теста — определить, как организм реагирует на синтетический кортикостероид.
- Образовательные методы. Магнитно-резонансная томография (МРТ) или компьютерная томография (КТ) могут использоваться для визуализации гипофиза и надпочечников, а также для выявления возможных опухолей.
- Исследование функции щитовидной железы. Поскольку изменения в работе щитовидной железы могут сопровождать болезнь Иценко-Кушинга, иногда проводят тесты на уровень гормонов щитовидной железы.
- Тесты на сахар в крови. Поскольку болезнь Иценко-Кушинга может быть связана с нарушением обмена углеводов, проводят тесты на сахар в крови.
Диагностика болезни Иценко-Кушинга часто требует внимательного медицинского наблюдения и комплексного подхода. После диагностики врач может решить о дальнейших исследованиях и лечении, включая хирургическое вмешательство для удаления опухолей, если они присутствуют.
Лечение болезни Иценко-Кушинга
Лечение болезни Иценко-Кушинга зависит от ее причины. В случае, если основной причиной является опухоль в гипофизе и надпочечниках, может потребоваться хирургическое вмешательство. Вот основные методы лечения:
Хирургическое вмешательство
Если опухоль в гипофизе является причиной болезни Иценко-Кушинга, хирургическое удаление опухоли может быть рекомендовано. Это может выполняться с использованием технологии эндоскопии, что позволяет минимизировать повреждение окружающих тканей.
Лекарственная терапия
Врач может назначить лекарства для уменьшения уровня кортизола или блокировки его действия. Это могут быть медикаменты, такие как кетоконазол, метирапон или митотан.
Радиотерапия
В случаях, когда хирургическое вмешательство не является возможным или неэффективным, радиотерапия может использоваться для уменьшения размеров опухоли и снижения ее активности.
Коррекция симптомов
Врач может предписать лекарства для контроля симптомов, таких как артериальное давление, уровень сахара в крови, и для поддержания баланса электролитов.
Управление стрессом и образом жизни
Эффективное управление стрессом и здоровый образ жизни, включая регулярную физическую активность и здоровое питание, могут помочь в улучшении общего состояния и снижении симптомов.
Профилактика болезни Иценко-Кушинга
Профилактика болезни Иценко-Кушинга, как правило, напрямую связана с предотвращением ее основных причин. Так как основным механизмом развития болезни является избыточное выделение кортизола из-за наличия опухоли в гипофизе и надпочечниках, профилактические меры включают в себя:
- Регулярные медицинские обследования. Регулярные визиты к врачу для общего медицинского осмотра и лабораторных тестов могут помочь выявить любые изменения в организме, в том числе наличие опухолей или других эндокринных расстройств.
- Контроль использования кортикостероидов. Если пациент принимает кортикостероидные препараты для лечения других состояний, важно использовать их под контролем врача. Самостоятельное и длительное применение этих препаратов может привести к развитию болезни Иценко-Кушинга.
- Следование рекомендациям врача. Пациенты, у которых была обнаружена болезнь Иценко-Кушинга и проведено соответствующее лечение, должны строго следовать рекомендациям врача, включая прием лекарств, регулярные обследования и контрольные тесты.
- Контроль уровня стресса. Стресс может сказываться на уровне кортизола. Практика методов релаксации, медитации и управления стрессом может быть полезной.
- Здоровый образ жизни. Поддержание здорового образа жизни с умеренной физической активностью, здоровым питанием, нормализацией сна и избеганием вредных привычек также может способствовать общему здоровью.
Важно отметить, что болезнь Иценко-Кушинга редка и часто связана с опухолями, которые не всегда можно предотвратить. Поэтому ключевым моментом является регулярное медицинское обследование для своевременного выявления и лечения заболевания.
